Avasküler nekroz, kan akışının yetersizliği nedeniyle kemik dokusunun ölümüdür. Osteonekroz olarak da adlandırılan bu durum, kemikte küçük kırılmalara yol açarak kemiğin çökmesine neden olabilir. Osteonekroz en sık femur başını tutar; ancak, omuz, diz, ayak bileği gibi diğer bölgelerde de görülebilir.
Avasküler nekroz femur başında meydana gelmişse baş küresel şeklini kaybeder ve yassılaşmaya başlar. Eklemdeki uyum bozulur; eklem kıkırdağında aşınmalar olur ve osteoartirit (kireçlenme) gelişir Süreç genellikle aylar, yıllar alır.

Normal femur başının dolaşımı
Hastalık en çok 30 ila 50 yaş arasındaki kişilerde görülür ve kendini ağrı ile belli eder. Ağrı başlangıçta hafif olur ama giderek şiddetini artırır. Eklem hareketleri kısıtlanır. Zaman içerisinde diğer kalça ekleminde de aynı durum meydana gelebilir.
Avasküler Nekroz Nedenleri
Avasküler nekroz, kemiğe kan akışı kesildiğinde veya azaldığında meydana gelir. Kan akışının azalması şunlardan kaynaklanabilir:
|
•
|
Eklem veya Kemik Travması: Eklemin yerinden çıkması gibi bir yaralanma yakındaki kan damarlarına zarar verebilir.
|
|
•
|
Radyoterapi: Radyasyon içeren kanser tedavileri de kemiği zayıflatabilir ve kan damarlarına zarar verebilir.
|
|
•
|
Kan Damarlarında Yağ Birikintileri: Yağ (lipitler) küçük kan damarlarını tıkayabilir. Bu, kemiklere kan akışını azaltabilir.
|
|
•
|
Bazı Hastalıklar: Orak hücreli anemi ve Gaucher hastalığı gibi tıbbi durumlar da kemiğe kan akışını azaltabilir.
|
Avasküler Nekroz İçin Risk Faktörleri
Avasküler nekroz gelişimi için risk faktörleri şunları içerir:
|
•
|
Travma: Kalça çıkığı veya kırığı gibi yaralanmalar yakındaki kan damarlarına zarar verebilir ve kemiklere giden kan akışını azaltabilir.
|
|
•
|
Steroid Kullanımı: Prednizon gibi yüksek dozda kortikosteroid kullanımı avasküler nekrozun yaygın bir nedenidir. Nedeni bilinmemektedir, ancak kortikosteroidlerin kandaki yağ düzeylerini artırarak kan akışını azaltabileceğine inanılmaktadır.
|
|
•
|
Aşırı Alkol Tüketimi: Birkaç yıl boyunca aşırı alkollü içki içmek de kan damarlarında yağ birikintilerinin oluşmasına neden olabilir.
|
|
•
|
Bifosfonat Kullanımı: Kemik yoğunluğunu artırmaya yönelik ilaçların uzun süreli kullanımı çene osteonekrozunun gelişmesine katkıda bulunabilir. Bu nadir komplikasyon, multipl miyelom ve metastatik meme kanseri gibi kanserler için bu ilaçların yüksek dozlarını alan bazı kişilerde ortaya çıkmıştır.
|
|
•
|
Bazı Tıbbi Tedaviler: Kanser için radyasyon tedavisi kemiği zayıflatabilir.
|
|
•
|
Organ Nakilleri: Özellikle böbrek nakilleri avasküler nekrozla ilişkilidir.
|
|
•
|
Bazı Hastalıklar: Pankreatit, Gaucher hastalığı, HIV/AIDS,sistemik lupus eritematozis, orak hücre anemisi, dalgıç hastalığı, lösemi gibi bazı kanser türlerinde de avasküler nekroz görülebilir.
|
Klinik Bulgular
Femur başı avasküler nekrozunun başlangıcında genellikle herhangi bir belirti yoktur. Bu nedenle teşhis etmek zor olabilir. Belirtiler genellikle hastalığın ilerleyen evrelerinde ortaya çıkar. En yaygın görülen yakınmalar şunlardır:
|
•
|
Ağrı: Hastalık ilk olarak eklem ağrısıyla kendini gösterir. Bu ağrı genellikle kalça, kasık ve uyluk bölgesinde hissedilir. Ağrı başlangıçta sadece belirli aktiviteler sırasında ortaya çıkar. Zamanla istirahat sırasında ağrı ve gece ağrısı hissedebilir.
|
|
•
|
Hareketlerde Azalma ve Topallama: Hastalığın erken dönemlerinde eklem hareketleri bozulmaz. Hastalığın ilerlemesi ile kalça hareketleri kısıtlanır. Hastalar, zamanla artan ağrı ile birlikte eklemde tutukluk ve hareket zorluğundan yakınmaya başlarlar. Ağrı ve hareketlerde azalma yürürken hastaların topallamasına neden olabilir.
|
|
•
|
Kalça Ekleminde Hassasiyet ve Şişlik: Bazı hastalarda, kalça ve kasık bölgesinde hassasiyet veya dolgunluk hissi olabilir.
|
Birçok durum eklem ağrısına neden olabilir. Görüntüleme ağrının kaynağını belirlemeye yardımcı olabilir. Avasküler nekroz tanısında aşağıdaki görüntüleme yöntemleri kullanılır:
|
•
|
Röntgen: Avasküler nekrozun ilerleyen aşamalarında meydana gelen kemik değişikliklerini ortaya çıkarabilirler. Durumun erken aşamalarında, röntgenler genellikle herhangi bir bulgu vermez.
|

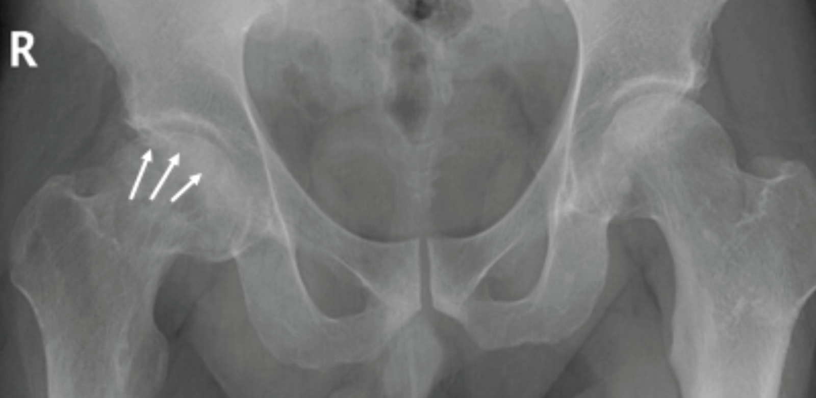
İleri evre kalça osteonekrozunda femur başının şekli bozulmuş.
|
•
|
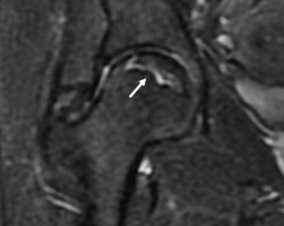
Manyetik Rezonans Görüntüleme (MRG): Röntgende görülemeyen kemik değişiklikleri ve kan akışı bozuklukları MR’da görülebilir. Bu nedenle MR, erken evre avasküler nekroz tanısında kullanılan en hassas radyolojik görüntüleme yöntemidir.
|

Femur başı avasküler nekrozunda MR’da hilal işareti
|
•
|
Bilgisayarlı Tomografi (BT): BT taramaları, kemik içindeki değişiklikleri ayrıntılı bir şekilde gösterdiğinden özellikle cerrahi planlamada kullanılır.
|

|
•
|
Kemik sintigrafisi: Kemik sintigrafisi osteonekroz tanısında MR’a göre daha düşük duyarlılığa sahiptir. Kalp pili ve kafa içi metal damar bağlayıcıları gibi MR’ın mümkün olmadığı hastalarda kullanılabilir.
|
Femur başı avasküler nekrozunda evreleme hastalığın ilerlemesini ve kemik dokusundaki hasarın şiddetini tanımlamak için kullanılır.

|
•
|
1. Evre: Bu evrede femur başına giden kan akışı azalmıştır. Röntgenler normaldir ve klinik bulgular belli belirsizdir. Hastalar hafif ağrı ve hareket kısıtlılığından şikayet edebilir.
|
|
|
•
|
2. Evre: Bu evrede röntgenlerde kemik değişiklikleri gözlenmeye başlanır. Femur başında hafif çökmeler görülür. Hastaların ağrıları artabilir ve yürürken topallayabilirler. Bu evrede, kemik hasarı geri döndürülebilir
|
|
|
•
|
3. Evre: Üçüncü evrede, röntgenlerde kemik çökmesi daha belirgindir. Femur başında şekil bozuklukları ortaya çıkar. Kalça ekleminde hareket kısıtlılığı ve ağrı artmış, günlük yaşam aktiviteleri kısıtlanmıştır.
|
|
|
•
|
4. Evre: En ciddi evre olarak kabul edilir. Femur başı tamamen çökmüş ve küresel şeklini kaybetmiştir. Hastalar kalça ekleminde şiddetli ağrı, hareket güçlüğü ve yürüme zorluğu yaşarlar.
|
Tedavi
Tedavi, femur başı avasküler nekrozu evresine bağlı olarak değişiklik gösterir. Ana hatlarıyla avasküler nekroz tedavisi, konservatif ve cerrahi tedaviler olarak iki ana başlık altında incelenebilir.
Konservatif Tedaviler
|
•
|
Steroid olmayan antiinflamatuar ilaçlar (NSAII'ler)
|
|
•
|
Osteoporoz ilaçları (Bu ilaçlar avasküler nekroz ilerlemesini yavaşlatabilir)
|
|
•
|
Kolesterol düşürücü ilaçlar (Kandaki kolesterol ve yağ miktarının azaltılması, avasküler nekroza neden olabilecek damar tıkanıklıklarının önlenmesine yardımcı olabilir.
|
|
•
|
Kan damarlarını açan ilaçlar (İloprost etkilenen kemiğe kan akışını artırabilir)
|
|
•
|
Kan sulandırıcı ilaçlar (Kemikleri besleyen damarlarda pıhtılaşmayı önleyebilir)
|
Fizik Tedavi: Tam olarak kanıtlanmasa da fiziksel aktiviteyi kısıtlamak veya koltuk değneği kullanmak kemik hasarını yavaşlatmaya yardımcı olabilir. Ayrıca eklemdeki hareket aralığının korunmasına veya iyileştirilmesine yardımcı olacak egzersizler yapılabilir.
Hiperbarik Oksijen Tedavisi: Hipoksik kemik dokusunun oksijenlenmesini kolaylaştırması ve ödemi azaltması beklenir.
Cerrahi Tedaviler
Kalça osteonekrozu tedavisinde kullanılan cerrahi tedaviler, femur başını koruyucu cerrahi işlemler ve protez ameliyatları olarak ayrılabilir. Femur başı koruyucu cerrahiler başta çökme ve yassılaşma öncesinde lezyonları tedavi etmeyi amaçlamaktadır ve yıllardır hastalığın olumsuz etkilerini tersine çevirmek için kullanılmaktadır. Ancak hastalığın seyrini ve sekel durumunu değiştirebilen başarılı sonuçları bildirilmiş herhangi bir yöntem maalesef yoktur.
Çekirdek Dekompresyonu: Bu yöntem erken evrede yakalanmış, çökme bulguları olmayan, küçük-orta büyüklükte lezyonlarda semptomatik fayda sağlamak adına kullanılabilir. Başta çökme olmayan vakalarda iyi sonuçlar elde edilmiştir. Bu cerrahi işlemde, femur boynundan başına doğru küçük delikler açılır. Böylece kemik içindeki basıncın azaltılması ve kan dolaşımının arttırılması sağlanır.
Kemik Grefti: Bu işlem ilerlemiş olgularda avasküler nekrozdan etkilenen kemik bölgesinin güçlendirilmesine yardımcı olabilir. Greft, vücudun başka bir bölgesinden alınan sağlıklı kemik parçasıdır. Greftler damarlı ya da damarsız olabilir.
Kemiğin Yeniden Şekillendirilmesi (Osteotomi): Ağırlığın hasarlı kemikten sağlam bölgeye kaydırılmasına yardımcı olmak ve kemiğin yeniden şekillenmesini sağlamak için yapılan ameliyatlardır. Kemiğin yeniden şekillendirilmesi protez cerrahisinin ertelenmesine yardımcı olabilir.
Rejeneratif Tıp Tedavisi: Ölü kemik dokusunu yenilemek için hücre bazlı tedavilerin kullanımı düşünülmüştür. Kök hücrelerin ölü kemik bölgelerini doldurması ve yenilenmeyi artıracağı beklenmektedir. Bu amaçla ameliyat sırasında kemik iliğinden alınan kök hücreler ölü kemik alanına yerleştirilir. Bu hücrelerin farklılaşması ve çoğalması ile rejenerasyonun uyarılması amaçlanmıştır.
Protez Cerrahisi: Etkilenen kemik çökmüşse veya diğer tedaviler yardımcı olmuyorsa, ameliyatla hasarlı bölge çıkarılarak protez yerleştirilir (Ayrıntılı bilgi için Total Kalça Protezi konusuna bakınız)
Korunma
Avasküler nekroz riskini azaltmak için:
|
•
|
Alkolü alımı sınırlandırılmalıdır.
|
|
•
|
Kolesterol düzeyleri düşük seviyelerde tutulmalıdır.
|
|
•
|
Steroid kullanımı konusunda doktorunuzla temas halinde olunuz.
|
|
•
|
Sigara içmeyiniz.
|