Osteotomi kelimenin tam anlamıyla "kemiğin kesilmesi" anlamına gelir. Diz osteotomisinde, ya tibia (kaval kemiği) ya da femur (uyluk kemiği) kesilir ve daha sonra diz ekleminin bir bölümündeki baskıyı hafifletmek için yeniden şekillendirilir.
Diz osteotomisi, diz ekleminin sadece bir tarafına hasar görmüş olan erken evre osteoartritli hastalarda kullanılır. Bu işlem eklemin hasarlı tarafındaki yükün kaydırılmasıyla ağrıyı hafifletebilir ve artritli dizde işlevi önemli ölçüde iyileştirebilir.
Diz eklemini oluşturan kemiklerin dizilimi bozulduğunda osteoartrit gelişebilir. Dizilim bozukluğu dizin iç veya dış tarafına ekstra baskı uygulayabilir. Zamanla bu ekstra baskı, eklem kıkırdağını aşındırarak dizde ağrı ve sertliğe neden olabilir.

|
•
|
Ağırlığı dizin artritli kısmından daha sağlıklı bir alana aktarmak
|
|
•
|
Diz eklemindeki kötü kemik dizilimini düzeltmek
|
|
•
|
Diz ekleminin ömrünü uzatmak
|
Diz Çevresi Osteotomilerinin Avantajları
|
•
|
Başarılı bir osteotomi, dizin anatomisini düzelterek protez ihtiyacını geciktirebilir.
|
|
•
|
Osteotomi iyileştikten sonra fiziksel aktivitelerde herhangi bir kısıtlama olmaz.
|
|
•
|
Osteotomi sonrası ağrınız azalmayabilir.
|
|
•
|
Osteotomi sonrası iyileşme genellikle daha uzun ve daha zordur. Osteotominin iyileşmesi yaklaşık 6 hafta sürer.
|
|
•
|
Bazı durumlarda osteotomi geçirmiş olmak sonraki total diz protezi ameliyatını daha zorlu hale getirebilir.
|
Diz osteotomisi en çok 60 yaşın altındaki zayıf ve aktif hastalarda yapılır. Dizinin sadece bir tarafında ağrısı olan, çoğunlukla aktiviteden veya uzun süre ayakta durmaktan kaynaklanan diz ağrısı olan, dizini tam açan ve en az 90 derece bükebilen hastalar ameliyat için uygun adaylardır.
Ameliyat Tekniği
Diz artritine yönelik osteotomilerin çoğu dizin iç bölümüne çok fazla baskının olduğu durumda tibia (kaval kemiği) üzerinden yapılır. Bu işleme yüksek tibial osteotomi (YTO) adı verilir.
Bu ameliyat sırasında tibianın ya iç ya da dış tarafında kemik kesilir. İç taraftaki kesi arasına üçgen şeklinde kemik kama yerleştirilir ve plak ve vidalarla tespit edilir. Tibianın dış tarafındaki kesiden ise uygun ebatta bir kemik kama çıkarılır.
Böylece iç taraftaki kemik kesisi konulan kama ile açıldığında veya dış taraftaki kemik kesisi çıkarılan kama ile kapatıldığında bacak düzelir. Bu, dizin sağlıklı tarafındaki eklem aralığını daraltır ve hasarlı, artritli taraftaki eklem aralığını açar. Sonuç olarak diz ağırlığı daha eşit bir şekilde taşıyabilir ve ağrılı taraftaki baskıyı hafifletebilir.

A.Varus diz görünümü

B. Yüksek tibial osteotomi kesisi

C. Kemik kama çıkarılması ve dizilimin düzeltilmesi


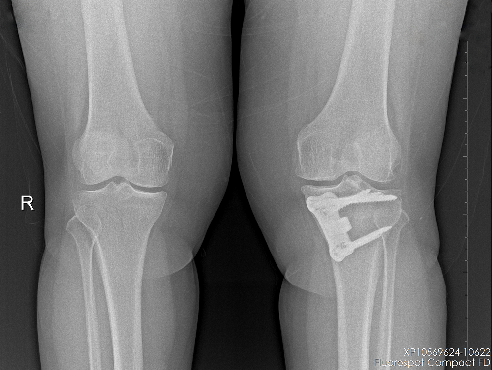
Gonartrozu olan hastanın ameliyat öncesi ve YTO yapıldıktan sonraki grafileri
Uyluk kemiğinin (femur) osteotomisi de aynı teknik kullanılarak yapılır.
Komplikasyonlar
Her cerrahi işlemde olduğu gibi osteotominin de riskleri vardır. Riskler düşük olmasına rağmen en sık görülen komplikasyonlar şunlardır:
|
•
|
Enfeksiyon
|
|
•
|
Diz ekleminin sertliği
|
|
•
|
Damar ve sinir yaralanmaları
|
|
•
|
Osteotominin iyileşmemesi (Bazı durumlarda, özellikle osteotomi iyileşmezse ikinci bir ameliyat gerekebilir).
|
Ameliyat Sonrası Bakım
Genellikle hastalar osteotomiden 1 ila 2 gün sonra taburcu olurlar. Hastaların ameliyat sonrası 3-4 hafta boyunca yürüteç kullanması ve osteotominin iyileşmesinin kontrolü için belli aralıklarla röntgen çekilmesi gerekir. Ameliyattan 3 ila 6 ay sonra hastalar tüm aktivitelerine devam edebilirler.
Sonuç olarak çoğu hastada osteotomi ağrıyı hafifletmede ve dizdeki artritin ilerlemesini geciktirmede başarılıdır. Daha genç bir hastanın uzun yıllar boyunca daha aktif bir yaşam sürdürmesine olanak tanıyabilir. Her ne kadar çoğu hasta eninde sonunda total diz protezine ihtiyaç duysa da, osteotomi diz protezi ihtiyacını geciktirmenin etkili bir yoludur.