Gonartroz olarak da bilinen diz osteoartriti, kemik yüzeylerini kaplayan kıkırdak dokunun hasarıdır. Eklemlerde kıkırdak tabakasının sürtünmeyi önleme ve eklemlerin düzgün hareket etmesini sağlama gibi hayati bir işlevi vardır. Kıkırdak bütünündeki değişiklik kaçınılmaz olarak geri dönüşü olmayan süreçlere yol açar. Özellikle ilerleyen yaş ve fazla kiloların etkisiyle kıkırdak yapının zamanla yıpranarak aşınması söz konusudur.
Aşınan kıkırdak incelerek eklem aralığında daralmaya yol açar. İlave olarak kıkırdak altındaki kemikler de incelir ve yıpranırlar. Bunun sonucunda hastaların hareket kabiliyeti azalır ve şiddetli ağrılar oluşur. Diz çökme, merdiven inip çıkma, sandalyeye oturup kalkma sırasında sıkıntılar meydana gelir. Dizde şekil bozuklukları ortaya çıkar.

Dizde varus deformitesi

Dizde valgus deformitesi
Diz kireçlenmesinde genel ve lokal olmak üzere iki farklı risk grubu vardır.
|
•
|
Lokal risk faktörleri arasında travma, eklemin yapısal özellikleri, zorlayıcı fiziksel aktiviteler, yaşam stili ve mesleki faktörler sayılabilir.
|
|
•
|
Genel risk faktörleri ise yaş, cinsiyet, obezite, sigara, genetik yatkınlık, anatomik bozukluklar, osteoporoz, sportif aktiviteler, hormonal ve metabolik hastalıklardır.
|
Diz osteoartritinin gelişiminde rol oynayan başlıca sebepler şunlardır:
|
•
|
Yaşam stili, kötü kullanım
|
|
•
|
Yaşlanma ile eklem kıkırdağı dayanıklılığının azalması
|
|
•
|
Cinsiyet ve genetik yatkınlık
|
|
•
|
Travma
|
|
•
|
Şişmanlık
|
|
•
|
Dizde dizilim bozuklukları
|
|
•
|
Menisküs ve bağ lezyonları
|
|
•
|
Aşırı sportif aktiviteler
|
|
•
|
Kas zayıflığı
|
|
•
|
İltihabi hadiseler
|
Gonartrozun Belirtileri
|
•
|
Ağrı: En önemli belirtidir. Derinde ve sızı şeklinde tanımlanır. Ağrının yerini tarif etmek genellikle zordur. Eklemin kullanımı ile ortaya çıkan ve dinlenmekle azalan ağrı tipiktir. Hastalık ilerledikçe istirahatta ağrı ve gece ağrısı ortaya çıkabilir. Ağrıya eklem duyarlılığı da eşlik eder. Ağrı diz çevresinde sınırlı olabileceğii gibi uyluk-kalça, bacak-ayak bileğine doğru da yansıyan ağrılar görülebilir.
|
|
•
|
Eklem Sertliği ve Hareketlerde Kısıtlılık: Genellikle sabahları ilk kalkıldığında ve gün içinde uzun süren hareketsizlik dönemlerinden sonra görülür. Eklem sertliği zamanla artar, kas spazmı ve serbest cisimciklerin mekanik engellenmesine bağlı olarak eklem hareketlerinde kısıtlılık gelişir.
|
|
•
|
Eklemde Sürtünme Sesi Duyulması: Eklem kıkırdağı kaybı ve eklem yüzeyi düzensizliğinden dolayı sürtünme sesi ortaya çıkar.
|
|
•
|
Eklemde Kilitlenme: Sürtünmeye neden olan eklem içindeki hareketli cisimler eklem kilitlenmesine neden olabilirler.
|
|
•
|
Eklem Deformitesi: İleri dönemlerde dizde kısmi çıkık ya da bacağın dizden içe veya dışa doğru eğilmesi görülebilir.
|
|
•
|
İnstabilite ve Atrofi: Kaslarda zayıflık eklemde şekil bozukluğu sonucunda, zaman içinde ön çapraz bağda yetersizlik ve kopma oluşur. Zaman zaman hasta bunu dizinde güvensizlik hissi ve boşalma olarak algılar.
|
Gonartroz Tanısı
|
•
|
Eklemde şişlik ve ısı artışı
|
|
•
|
Diz çevresinde ağrı ve hassasiyet
|
|
•
|
Hareket kısıtlılığı
|
|
•
|
Hareketle sürtünme hissinin varlığı
|
|
•
|
Yürüyüş şeklinde bozulma
|
|
•
|
Diğer eklemlerin tutulumu (romatoid artrit belirtisi) olup olmadığı kontrol edilir.
|
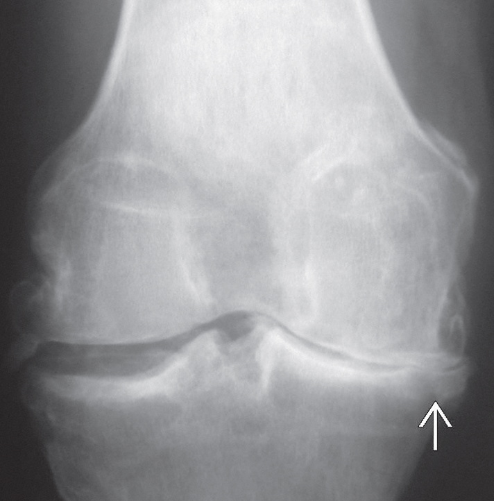
Röntgen ile eklem aralığında daralma, kemikteki değişiklikler ve kemik çıkıntılarının (osteofit) oluşumu tespit edilir.

Diz ekleminin iç bölümünde artroz bulguları. Eklem aralığı daralmış.
Gonartroz Tedavisi
Dizdeki kireçlenme problemlerinde hastalığın derecesine göre uygun tedavi yöntemi belirlenir. Genç hastalarda fizik tedavi, egzersiz ve ilaçla tedavi gibi cerrahi dışı yöntemler uygulanırken, ileri derecede kireçlenmesi olan yaşlı hastalarda cerrahi tedavi gerekebilir.
Gonartrozun Ameliyatsız Tedavisi
İleri derecede olmayan diz kireçlenmeleri ameliyatsız yöntemlerle tedavi edilebilir. Ameliyatsız yöntemler şunlardır:
|
•
|
Hastadan yaşam biçimini değiştirmesi istenir. Dize binen yüklerin azaltılması gerekir. Bunun için hastanın kilo vermesi, yürüyüş, koşma, merdiven inip çıkma gibi aktivitelerden uzak durması ve bunların yerine yüzme, bisiklete binme gibi dize daha az yük bindiren aktiviteleri yapması uygun olur.
|
|
•
|
Diz hareketlerini ve kasların gücünü artıran egzersizler önerilir.
|
|
•
|
Baston kullanması, ayakkabı seçerken şok absorbe edici tabanlı olanları tercih etmesi, dizlik kullanması faydalı olabilir.
|
|
•
|
Sıcak veya soğuk uygulamalar, su içerisinde yapılacak egzersizler de önerilir.
|
Ameliyatsız yöntemlerle hastanın şikâyetlerinde azalma olmadığı durumlarda; artroskopik debridman, osteotomi ve artroplasti gibi cerrahi tedavi seçenekleri denenebilir.
Osteoartritli dizde artroskopi sonuçları çok başarılı olmasa da bu sayede eklem içindeki patolojiler hakkında daha sağlıklı bilgilere ulaşılabilir ve kıkırdaklar temizlenerek uzun süreli bir rahatlama sağlanabilir.
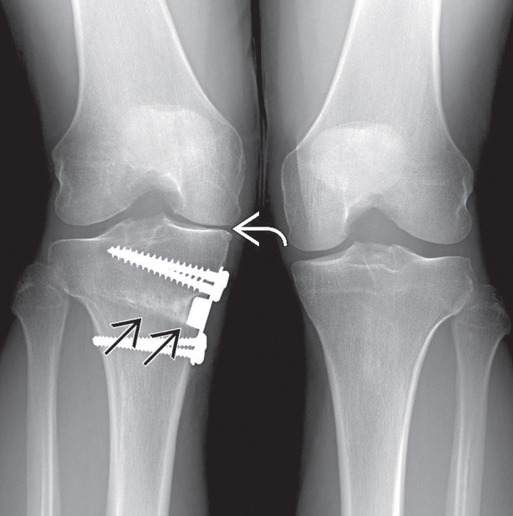
Osteoartrit eğer diz ekleminin mekanik aksındaki bozukluklara bağlı gelişmişse, osteotomi ile eklemde aşınmaya sebep olan aks bozukluğu düzeltmeye çalışılabilir. (Ayrıntılı bilgi için Diz Çevresi Osteotomileri konusuna bakınız)

Diz ekleminin mekanik aksındaki bozukluğun osteotomi ile düzeltilmesi
