Halluks valgus, ayağın iç kısmında ayak başparmağı ekleminde gelişen ağrılı bir kemik çıkıntısıdır. Bunun sonucunda, başparmak küçük ayak parmaklarına ve ayağın dışına doğru sürüklenir.
,

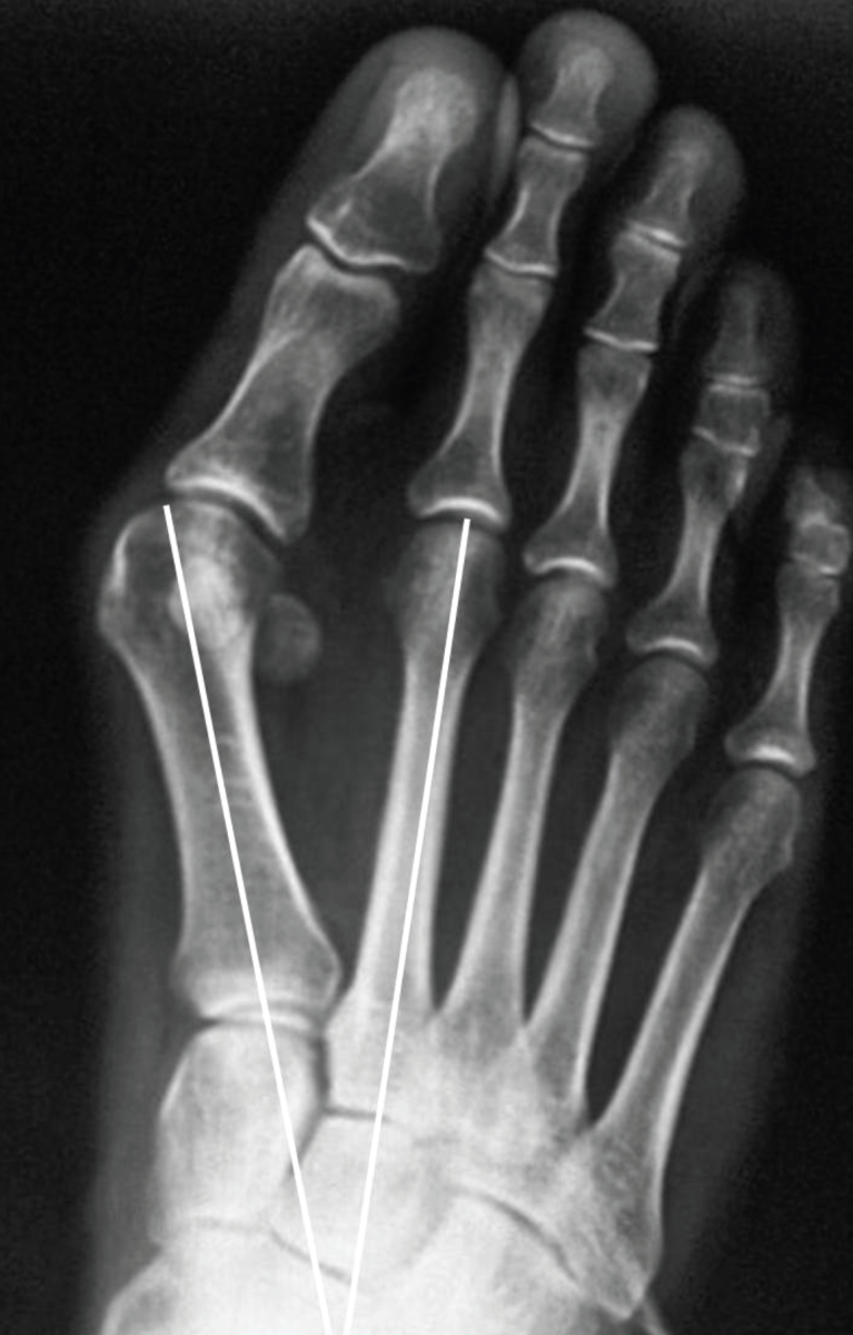
Her iki ayakta halluks valgus deformitesi
Asıl sorun birinci tarak kemiğinin ikinci ile arasının açılması ve birinci tarak kemiğinin içe doğru kaymasıdır.

Halluks valgus grafisi. Birinci ve ikinci tarak kemikleri arası açılmış. Birinci tarak kemiği içe doğru kaymış.
Günümüzde sıklıkla artan halluks valgus hastalığı tedavi edilmediği taktirde sadece baş parmağı değil tüm ayağı ilgilendirebilecek bulgu ve değişikliklerle karşımıza çıkar. Ayağın estetik görünümünü bozduğu gibi ağrı da yaratır. Halluks valgustan kaynaklanan ağrı, ayakkabının tahrişi nedeniyle kemik çıkıntı üzerinde ve ayak tabanında hissedilir.
Halluks valgus genellikle yavaş gelişir. Ayak başparmağı eklemine uygulanan basınç, başparmağın ikinci parmağa doğru eğilmesine neden olur. Zamanla kemiğin, tendonların ve bağların normal pozisyonu değişir ve bunyon deformitesine neden olur. Çoğunlukla bu deformite zamanla giderek kötüleşir ve ayakkabı giymeyi veya yürümeyi acı verici hale getirebilir.
Halluks valgus kadınlarda erkeklerden daha yaygındır. Hastaların yüzde yetmişinin aile geçmişi vardır, bu da halluks valgus gelişmesinde büyük bir genetik bileşenin olduğunu göstermektedir.
Anatomi
Ayak başparmağı iki eklemden oluşur. Bunlardan en büyüğü, ayağın ilk uzun kemiğinin (metatarsal) ayak parmağının ilk kemiğiyle (falanks) buluştuğu metatarsofalangeal eklemdir (MTP).
Bu hastalıkta metatarsofalangeal eklemi oluşturan kemiklerin dizilimi bozulmuştur. Uzun metatarsal kemik ayağın iç kısmına doğru kayar ve ayak başparmağı açısındaki falanks kemikleri ikinci parmağa doğru kayar. MTP eklemi büyür ve ön ayağın iç kısmından dışarı çıkar.
Halluks valgus genellikle yavaş gelişir. Ayak başparmağı eklemine uygulanan basınç, başparmağın ikinci parmağa doğru eğilmesine neden olur. Zamanla kemiğin, tendonların ve bağların normal pozisyonu değişir ve bunyon deformitesine neden olur. Çoğunlukla bu deformite zamanla giderek kötüleşir ve ayakkabı giymeyi veya yürümeyi acı verici hale getirebilir.
Halluks valgus kadınlarda erkeklerden daha yaygındır. Hastaların yüzde yetmişinin aile geçmişi vardır, bu da halluks valgus gelişmesinde büyük bir genetik bileşenin olduğunu göstermektedir.
Anatomi
Ayak başparmağı iki eklemden oluşur. Bunlardan en büyüğü, ayağın ilk uzun kemiğinin (metatarsal) ayak parmağının ilk kemiğiyle (falanks) buluştuğu metatarsofalangeal eklemdir (MTP).
Bu hastalıkta metatarsofalangeal eklemi oluşturan kemiklerin dizilimi bozulmuştur. Uzun metatarsal kemik ayağın iç kısmına doğru kayar ve ayak başparmağı açısındaki falanks kemikleri ikinci parmağa doğru kayar. MTP eklemi büyür ve ön ayağın iç kısmından dışarı çıkar.

Genişlemiş eklem sıklıkla anormal mekanik ve doğrudan tahriş nedeniyle iltihaplanır. "Bunyon" kelimesi Yunanca şalgam kelimesinden gelir ve ayağın iç kısmındaki şişlik genellikle kırmızı ve şalgam gibi şişmiş görünür.
Gelişmiş bir bunyon ayağın görünümünü büyük ölçüde değiştirebilir. Şiddetli bunyonlarda, ayak başparmağı ikinci parmağın altına veya üstüne kadar kayabilir. Ayak başparmağından gelen basınç, ikinci parmağın hizasını bozarak üçüncü ayak parmağıyla temas etmesine neden olabilir. Bu, küçük ayak parmaklarında çekiç parmak deformitelerine neden olabilir. Ayak parmaklarının birbirine sürtündüğü yerlerde de nasır gelişebilir, bu da ilave rahatsızlığa ve yürüme zorluğuna neden olur.
Bazı durumlarda, genişlemiş bir MTP eklemi, eklem yakınındaki kemiği yastıklayan sıvı dolu kesenin (bursa) iltihaplandığı ağrılı bir durum olan bursite yol açabilir.
Halluks Valgus Nedenleri
Halluks valgusa şunlar neden olabilir:
Gelişmiş bir bunyon ayağın görünümünü büyük ölçüde değiştirebilir. Şiddetli bunyonlarda, ayak başparmağı ikinci parmağın altına veya üstüne kadar kayabilir. Ayak başparmağından gelen basınç, ikinci parmağın hizasını bozarak üçüncü ayak parmağıyla temas etmesine neden olabilir. Bu, küçük ayak parmaklarında çekiç parmak deformitelerine neden olabilir. Ayak parmaklarının birbirine sürtündüğü yerlerde de nasır gelişebilir, bu da ilave rahatsızlığa ve yürüme zorluğuna neden olur.
Bazı durumlarda, genişlemiş bir MTP eklemi, eklem yakınındaki kemiği yastıklayan sıvı dolu kesenin (bursa) iltihaplandığı ağrılı bir durum olan bursite yol açabilir.
Halluks Valgus Nedenleri
Halluks valgusa şunlar neden olabilir:
|
•
|
Uygun olmayan ayakkabılar giymek: Halluks valgusun en önemli nedenlerinden biri yüksek topuklu ve sivri burunlu ayakkabı kullanılmasıdır. İnsan anatomisine uygun olmayan bu tarz ayakkabıların fazla kullanımı ayağa baskı yapar.
|
|
•
|
Kalıtım: Bir diğer önemli neden de genetik etkenlerdir. Ailede halluks valgus öyküsünün olması önemlidir.
|
|
•
|
Aşırı kilo
|
|
•
|
Uzun süre ayakta kalma
|
|
•
|
İnflamatuvar hastalıklar
|
|
•
|
Bazı nörolojik hastalıklar
|
Halluks valgus en çok orta ve ileri yaştaki kadınlarda görülür. Nedenleri araştırılırken ayakkabı tipinin yanı sıra ayak yapısı, genetik faktörler, sistemik hastalıklar ve kas-sinir hastalıkları ayrı ayrı ya da beraber incelenmelidir.
Halluks Valgus Belirtileri
Halluks valgus olan ayakta
Halluks Valgus Belirtileri
Halluks valgus olan ayakta
|
•
|
Anatomik değişiklikler
|
|
•
|
Başparmaktaki çıkıntıda şiddetli ağrı, kızarıklık ve yanma
|
|
•
|
Ayağın alt kısmında sertleşmiş cilt
|
|
•
|
Uyuşma
|
|
•
|
Başparmağın ikinci parmağın üzerine binmesi
|
|
•
|
İlerleyen dönemlerde eklem iltihabı
|
|
•
|
Şekil bozukluğu arttıkça ayakkabı giymede ve yürümede zorluk
|
|
•
|
Nasırlaşma vardır.
|
Halluks Valgus Tanısı
|
•
|
Klinik Değerlendirme: Klinik değerlendirmeye her zaman hastanın hikayesi ile başlamalıdır. Ağrının başlangıç zamanı, ağrının lokalize olduğu bölge, yürümesinin ne kadar etkilendiği, daha önce uygulanan konservatif ve cerrahi tedaviler ayrıntılı olarak araştırılmalıdır. Ayrıca hastanın genel durumunu etkileyecek sistemik hastalıklar, sigara kullanımı, damarsal ya da gut ve romatoid artrit gibi eklemleri etkileyen rahatsızlıkları bulunup bulunmadığı sorgulanmalıdır. Muayenede, hasta, otururken ve ayağının üzerine basar pozisyondayken incelenir. İlave olarak eklem hareketleri kontrol edilmeli, çıkıntının şekli ve büyüklüğü değerlendirilerek uygulanacak tedavi yöntemi belirlenmelidir.
|
|
•
|
Radyolojik Muayene: Kesin tanı için kullanılacak yöntem ayakta çekilen röntgendir. Bunun dışında ekstra bir tanı yöntemine genellikle gerek duyulmaz. Bazen MR’a başvurulabilir.
|
Halluks Valgus Tedavisi
Halluks valgus’un tedavisi, hastalığın derecesiyle şekillenir. İleri seviyede olan hastalara cerrahi yöntemlerin uygulanması gerekirken, hastalığın ilk evrelerinde konservatif tedavi (koruyucu) yöntemleri uygulanır.
Ameliyatsız Tedavi: Halluks valgus tedavisinde uygulanan ameliyatsız yöntemler şekil bozukluğunu düzeltmekte faydalı değildir. Ameliyatsız tedavi yöntemleri semptomları azaltmaya yönelik uygulanmaktadır. Özellikle bası noktalarını dikkate alarak kişiye özel yapılmış ayakkabılar ağrı kontrolü konusunda oldukça faydalıdır. Belirtilerin azaltılmasında parmak arası makara, halluks valgus ateli ve bunyon yastıkları kullanılır.
Halluks valgus’un tedavisi, hastalığın derecesiyle şekillenir. İleri seviyede olan hastalara cerrahi yöntemlerin uygulanması gerekirken, hastalığın ilk evrelerinde konservatif tedavi (koruyucu) yöntemleri uygulanır.
Ameliyatsız Tedavi: Halluks valgus tedavisinde uygulanan ameliyatsız yöntemler şekil bozukluğunu düzeltmekte faydalı değildir. Ameliyatsız tedavi yöntemleri semptomları azaltmaya yönelik uygulanmaktadır. Özellikle bası noktalarını dikkate alarak kişiye özel yapılmış ayakkabılar ağrı kontrolü konusunda oldukça faydalıdır. Belirtilerin azaltılmasında parmak arası makara, halluks valgus ateli ve bunyon yastıkları kullanılır.

Halluks valgus splinti
Ayrıca buz uygulaması ve antiinflamatuvar ilaçlardan destek alınarak ağrılı bursit semptomlarında azalma sağlanabilir.
Ameliyatla Tedavi: Ayakkabının değiştirilmesine ve diğer cerrahi olmayan tedavilere rağmen ağrı devam ediyorsa ve yürümede zorlanılıyorsa ameliyat önerilir. Halluks valgus ağrılı değilse ameliyata ihtiyacı yoktur. Pek çok hastada uygun ayakkabı ve diğer koruyucu bakımlarla halluks valgusun ilerlemesi yavaşlatılabilir. Halluks valgus ameliyatı
|
•
|
Yürüme ve uygun ayakkabılar giyilmesine rağmen günlük aktiviteleri sınırlayan ciddi ayak ağrısı
|
|
•
|
Dinlenme veya ilaçlarla düzelmeyen kronik ayak başparmağı iltihabı ve şişmesi
|
|
•
|
Ayak parmaklarında şekil bozukluğu ve sertliği
|
|
•
|
Ayakkabı değişikliğiyle ağrının giderilememesi
|
|
•
|
Ağrı kesici ilaçlarla ağrının giderilememesi durumlarında yapılmalıdır.
|
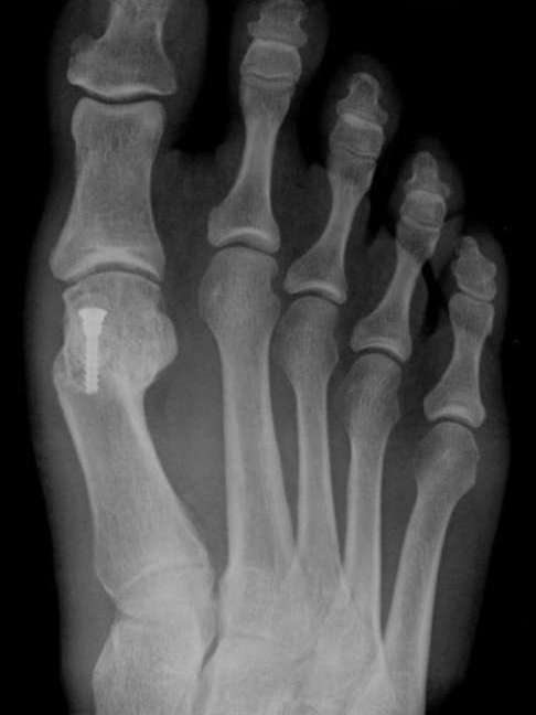
Halluks valgus ameliyatının amacı, kemiği, bağları, tendonları ve sinirleri yeniden hizalayarak, ayak başparmağının doğru konumuna geri getirilebilmesini sağlayarak ağrıyı hafifletmektir. Ameliyatlar bölgesel ya da genel anestezi ile yapılır. Halluks valgus’un farklı çeşitleri olduğu için her türe göre farklı cerrahi işlem uygulanır.

Halluks valgus cerrahisi uygulanmış hastanın röntgen filmi
Tüm ayak girişimlerinden sonra ayakta hafif de olsa ağrı, şişlik ve hareket kısıtlılığı gibi bazı yakınmaların kalacağı unutulmamalı, hiçbir ayak ameliyatı yalnızca estetik kaygılarla yapılmamalıdır. Yalnızca ağrılı bir halluks valgus için ameliyatı düşünmelidir.
Ameliyat Sonrası Dikkat Edilmesi Gereken Konular
Ameliyat sonrasında iyileşme süreci hastalığın derecesine, hastanın yaşına ve aktivite derecesine göre değişiklik gösterir. İyileşme süreci genellikle uzun olup tam iyileşme genellikle 6 aya kadar sürer. Bunyon ameliyatı hastanın daha küçük numara veya dar, sivri uçlu ayakkabı giymesine izin vermeyebilir. Hatta giyilecek ayakkabı türlerini kısıtlamak gerekebilir. Yapılan cerrahi müdahale başarılı geçmişse hastalığın tekrarlama olasılığı oldukça düşüktür.
Ameliyat sonrasındaki dönem, hasta için büyük önem taşır. Hastalığın tekrarlamaması ve iyileşme sürecinin daha hızlı olması için dikkat edilmesi gerekenler hususlar şunlardır:
Ameliyat Sonrası Dikkat Edilmesi Gereken Konular
Ameliyat sonrasında iyileşme süreci hastalığın derecesine, hastanın yaşına ve aktivite derecesine göre değişiklik gösterir. İyileşme süreci genellikle uzun olup tam iyileşme genellikle 6 aya kadar sürer. Bunyon ameliyatı hastanın daha küçük numara veya dar, sivri uçlu ayakkabı giymesine izin vermeyebilir. Hatta giyilecek ayakkabı türlerini kısıtlamak gerekebilir. Yapılan cerrahi müdahale başarılı geçmişse hastalığın tekrarlama olasılığı oldukça düşüktür.
Ameliyat sonrasındaki dönem, hasta için büyük önem taşır. Hastalığın tekrarlamaması ve iyileşme sürecinin daha hızlı olması için dikkat edilmesi gerekenler hususlar şunlardır:
|
•
|
Başarılı bir iyileşme için yara balımı, pansuman ve doktorunuzun talimatlarına uymanız çok önemlidir. Doktorunuzla konuşmadan pansumanı değiştirmeyiniz. Uygun iyileşmeye müdahale etmek bunyonun tekrarlamasına neden olabilir.
|
|
•
|
Yaranızı ve pansumanınızı kuru tuttuğunuzdan emin olunuz. Duş alırken veya banyo yaparken ayağınızı plastik bir torba ile örtünüz.
|
|
•
|
Dikişleriniz ameliyattan yaklaşık 2 hafta sonra alınacaktır, ancak ayağınızın 6 ila 12 hafta boyunca sürekli desteğe ihtiyacı olacaktır.
|
|
•
|
Ağrı ve enfeksiyon gelişiminin önlenmesine yönelik ilaçları doktorunuzun tavsiyesine uygun olarak kullanınız.
|
|
•
|
Ayağınızın şişmemesi için ameliyattan sonraki ilk birkaç gün ayağınızı mümkün olduğu kadar yüksekte tutunuz, şişlik ve ağrıyı hafifletmek için doktorunuzun önerdiği şekilde buz uygulayınız.
|
|
•
|
Doktorunuz ayağınıza ağırlık verip veremeyeceğiniz ve ne zaman verebileceğiniz konusunda size kesin talimatlar verecektir. Uygulanan işlemin türüne bağlı olarak ayağınıza çok erken ağırlık verirseniz kemikler kayabilir ve yapılan düzeltme kaybolabilir.
|
|
•
|
Ameliyat sağ ayağınızdan yapıldıysa, kemikler tam olarak iyileşene kadar araç kullanmanız kısıtlanabilir.
|
|
•
|
Hastalığın tekrarlamasını önlemek için doktorunuz izin verene kadar moda ayakkabılar giymeyiniz. Doktorunuzun yüksek topuklu ayakkabı giymenize müsaade etmeyeceğini unutmayınız.
|